Enhancing Dental Health: The Benefits of Guided Biofilm Therapy

Introduction
Maintaining optimal dental health is not just about brushing and flossing regularly; it also involves adopting advanced techniques and technologies that can effectively prevent dental issues. Guided Biofilm Therapy (GBT) is a revolutionary approach in dentistry that has gained significant recognition for its exceptional benefits in maintaining oral hygiene and preventing various dental problems. In this blog, we’ll explore the advantages of Guided Biofilm Therapy and how it can contribute to your overall dental well-being.
Understanding Guided Biofilm Therapy
Guided Biofilm Therapy is a systematic and comprehensive approach to dental hygiene that focuses on removing dental biofilm, also known as dental plaque, from the surfaces of teeth and gums. Dental biofilm is a complex community of microorganisms that adhere to the tooth surfaces and can lead to various oral health issues, including cavities, gum disease, and bad breath. GBT takes a proactive stance in preventing these problems through a combination of advanced techniques and tools.
The Benefits of Guided Biofilm Therapy
Precision and Effectiveness: GBT employs cutting-edge technology such as Airflow, which uses a controlled stream of air, water, and fine powder particles to remove biofilm, stains, and soft deposits from the teeth’s surfaces. This technique is extremely effective in reaching areas that are often missed by traditional brushing and flossing methods.
Minimally Invasive: Unlike traditional methods that might involve scraping and aggressive mechanical cleaning, GBT is minimally invasive. It utilizes a gentle yet efficient approach that doesn’t harm the tooth enamel or cause discomfort to the patient.
Reduced Risk of Gum Disease: Gum disease, also known as periodontal disease, is often caused by accumulated biofilm and bacteria that lead to inflammation of the gums. GBT’s thorough removal of biofilm significantly reduces the risk of gum disease, promoting healthier gums and overall oral health.
Stain Removal and Teeth Whitening: GBT not only removes biofilm but also tackles stubborn stains caused by coffee, tea, tobacco, and other consumables. This can lead to visibly whiter teeth and a brighter smile.
Improved Breath: Biofilm accumulation often contributes to bad breath. By effectively removing the biofilm, GBT helps to eliminate the source of foul odors, resulting in fresher breath.
Prevention of Tooth Decay: Dental biofilm contains acid-producing bacteria that can erode tooth enamel and lead to cavities. GBT helps prevent these issues by maintaining a clean and healthy oral environment.
Personalized Approach: GBT involves a thorough assessment of each patient’s oral health, allowing dental professionals to tailor the treatment to individual needs. This personalized approach ensures that the specific concerns of each patient are addressed effectively.
Patient Comfort: Many patients find traditional dental cleaning methods uncomfortable due to scraping sensations and sensitivity. GBT’s gentle approach, along with its advanced technology, enhances patient comfort during the cleaning process.
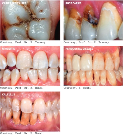
GBT Fights Biofilm Load
Biofilm is bad, you can’t see it or smell it. Biofilm makes you sick and triggers:
- Cavities,
- Bad Breath,
- Tooth Loss,
- Gingivitis,
- Bleeding Gums,
- Gum Infections,
- Receding Gums,
- Bone Loss and
- Implant Failutre.
A GBT treatment session identifies biofilm and thoroughly removes it. Scientific evidence shows that the regular and complete removal of biofilm results in healthier teeth and gums

Systemic Health Benefits
Studies show that the biofilm in your mouth increases the risk of Alzheimer’s, heart disease, respiratory disorders, diabetes and more. A GBT session can help improve your systemic health by reducing mouth biofilm.
Erythritol Benefits
Erythritol is known to inhibit the growth of biofilm and to reduce caries and plaque. It’s ideal for sensitive patients, biocompatible and has a low abrasivity index. It remineralized tooth structure and brightens your teeth.
Philips Sonicare is recommended to remove Biofilm at home.
Conclusion
Guided Biofilm Therapy has revolutionized dental care by offering an advanced, effective, and patient-friendly approach to maintaining oral health. By combining cutting-edge technology, personalized care, and minimally invasive techniques, GBT not only prevents dental problems but also promotes a brighter smile, fresher breath, and improved overall well-being. Consulting with a dental professional trained in GBT can provide you with a comprehensive understanding of how this innovative approach can benefit your unique dental health needs. Embrace the future of dental hygiene with Guided Biofilm Therapy and pave the way for a healthier, happier smile.

Book an Appointment
We are currently accepting new clients, learn more about our comprehensive dental hygiene assessment or book your first appointment.